
Bestimmung des kardio-vaskulären Risikos

Cardiovascular Suite Ultrasound Edition ist ein Programmpaket zur Verarbeitung von Ultraschall-B-Bildern und daraus automatisch abgeleiteter kardio-vaskulärer Risikoparameter. Das Paket beinhaltet zwei Anwendungen: FMD Studio zur Erfassung der endothelialen Funktion und Carotid Studio zur Erfassung der Intima Media Dicke (Intima Media Thickness IMT) und der arteriellen Steifigkeit der Carotis.
Endotheliale Funktion und Artherosklerose
Das Endothel spielt eine zentrale Rolle in der Entstehung, Entwicklung sowie im klinischen Outcome der Artherosklerose. Flow-Mediated Dilation (FMD), die durch Blutfluss erzeugte Dilatation der A. Brachialis, stellt eine etablierte nicht-invasive Methode dar, die endotheliale Funktion zu bestimmen. 1992 von Celermajer et al. eingeführt, hat die Methode in den Folgejahren stetig an klinischer Beachtung gewonnen, konnten doch verschiedene Studien den direkten Zusammenhang zwischen inadäquater FMD und kardiovaskulären Risiken wie Nikotin Abusus, Hypercholesterinämie, Hypertonie, Diabetes und beschleunigte Gefäßalterung nachweisen. Die Bedeutung der FMD als unabhängiger Prädiktor kardio-vaskulärer Ereignisse ist heute unstrittig. In unzähligen Publikationen wurde gezeigt, dass die endotheliale Dysfunktion einen der frühesten Indikatoren einer Artherosklerose bei Patienten aller Altersgruppen darstellt.
FMD kann mittels Ultraschalldarstellung bestimmt werden. Richtlinien hierzu wurden von der International Brachial Artery Reactivity Task Force (Corretti et al., 2002) erstellt. Die Untersuchung erfordert die Bestimmung des Durchmessers der A. Brachialis in Ruhe und während reaktiver Hyperämie, die durch eine Ischämie des Unterarms herbeigeführt wird. Die Arterie wird im B-Mode oberhalb der Armbeuge in longitudinaler Ebene geschallt.
Arterielle Steifigkeit und Intima Media Dicke
In den letzten Jahren wurde die erhebliche Relevanz der arteriellen Steifigkeit für die Entwicklung kardio-vaskulärer Erkrankungen erkannt. Verschiedene nicht-invasive Untersuchungsverfahren wurden in der Klinik eingeführt, insbesondere die direkte Bestimmung der aortalen Pulswellengeschwindigkeit, die ohne mathematische Modelle auskommt und deshalb heute als Goldstandard gilt.
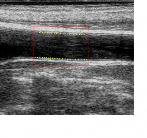
Eine weitere anerkannte Methode zur Charakterisierung der arteriellen Steifigkeit bietet die Bestimmung der Intima Media Dicke (Intima Media Thickness, IMT), bei der die Wandstärke der A. Carotis mittels Ultraschall bestimmt wird. Die weltweit etablierte Methode stellt einen zuverlässigen Indikator der Artherosklerose dar. Die IMT Messung lässt sich zudem mit einer nicht-invasiven Karotis-Druckmessung kombinieren, wodurch die elastischen Eigenschaften der großen arteriellen Gefäße abgeleitet werden können (Elastizitätsmodul nach Young).
FMD Studio
In einer klinisch-wissenschaftlichen Umgebung bedeutet die zuverlässige Bestimmung der FMD eine große Herausforderung. FMD Studio jedoch bietet in Kombination mit einem vorhandenen Ultraschallgerät eine sichere Dokumentation des arteriellen Gefäßdurchmessers und die automatische Bestimmung der FMD in Prozent.
Die FMD Studio Software beinhaltet:
1 Video Fenster
2 Daten Display
3 Durchmesser Grafik in Echtzeit
4 Mittlerer Durchmesser
5 Shear Rate Grafik
Echtzeit-Analyse
Einen besonderen Vorteil bei Untersuchungen mit FMD Studio bietet die Darstellung und Berechnung in Echtzeit. Denn die Ableitung guter Bilder während der gesamten Untersuchungsdauer von ca. neun Minuten ist kritisch und kann nur die durch die Echtzeitanalyse gewährleistet werden. Lageänderungen der Ultraschallsonde, meist durch Bewegung des Patienten verursacht, kann der Untersucher durch FMD Studio leicht erkennen und auf einfache Weise korrigieren.
Automatische Doppler Fluss Analyse
Zusätzlich zur automatischen Bestimmung des Gefäßdurchmessers bietet FMD Studio auch die Analyse des Ultraschall Doppler Signals, sofern ein Duplexgerät zur Verfügung steht. Dies ermöglicht die automatische Bestimmung der Schergeschwindigkeit (Shear Rate). Zusätzlich kann der normalisierte FMD Wert in Abhängigkeit von der Größe des vasodilatatorischen Stimulus berechnet werden, was in neueren Publikationen nachdrücklich postuliert wird.

Hohe Genauigkeit
Cardiovascular Suite verwendet einen innovativen numerischen Algorithmus mit sub-pixel Auflösung. Diese Überwindung der Grenzen räumlicher Auflösung im Ultraschallbild ergibt Resultate, die ansonsten nur mit einer wesentlich komplexeren Analyse des Ultraschall Radiofrequenz-Signals erreicht werden kann.
EKG Anschluss nicht erforderlich
Im Gegensatz zu anderen Verfahren ist ein EKG-Gating mit Synchronisation des EKG-Signals zum Ultraschallbild nicht erforderlich. Damit werden die Untersuchungen mit Cardiovascular Suite wesentlich vereinfacht, weniger aufwändig und für den Patienten angenehmer.
Eingebaute Qualitätskontrolle
Cardiovascular Suite gibt dem Untersucher unmittelbare Indizes zur Qualitätskontrolle und zur Sicherstellung eines zuverlässig auswertbaren Ultraschallbildes an die Hand.
Carotid Studio
Carotid Studio beinhaltet ein Programm zur Echtzeitanalyse von Ultraschall-Bildsequenzen der A. Carotis, wodurch wichtige Parameter der arteriellen Steifigkeit und damit das kardio-vaskuläre Risiko des Patienten abgeleitet werden können. Steht zusätzlich der lokale Pulsdruck zur Verfügung, ermöglicht Carotid Studio gleichzeitig die Bestimmung funktioneller und struktureller Parameter.

- Intima Media Dicke (IMT)
- Querschnittsfläche Gefäßwand
- Durchmesseränderung pro Schlag
- Querschnittsfläche Distensibilität
- Elastizitätsmodul nach Young
Simultane Messung
Neben der Dicke und Steifigkeit der Arterie lassen sich auch die elastischen Eigenschaften der arteriellen Wand beurteilen.

Genauigkeit wie bei Echotracking
Die gesamte Analyse basiert auf einem innovativen mathematischen Algorithmus, der die Grenzen konventionellen bildgebenden Ultraschalls überwindet. Mit dieser neuen Technologie wird eine Genauigkeit erreicht, die bisher nur mit wesentlich aufwändigeren Echotracking Systemen erzielt werden konnte.
Echtzeit Analyse
Das Ultraschallbild kann mit der Echtzeitanalyse der Carotid Studio Software einfach zuverlässig beurteilt und optimiert werden.
Einfaches Editieren
Die Bildbeurteilung, -überwachung und Annotation wird mit Carotid Studio wesentlich schneller und sicherer. Die automatische Analyse durch Carotid Studio kann zudem durch einen Experten jederzeit individuell revidiert werden, wodurch Signale mit niedrigem Signal-Rausch-Verhältnis oder einzelne Ausreißer ausgeschlossen werden können.
Minimale System-Anforderungen:
- Intel Core i5 2.3 GHz, 4GB RAM, 1GB HDD
- Windows 7/8.1/10 64bit oder Mac OS X 10.8 – 10.13
- A/D Video Converter
Cardiovascular Suite Ultrasound Edition ist ein Produkt von Quipu srl, Pisa, Italien
Technische Änderungen, die dem Fortschritt dienen, vorbehalten.
Cardiovascular Suite, FMD Studio und Carotid Studio sind eingetragenen Markenzeichen von Quipu srl
© 2011-2019 Quipu srl, © 2018 SMT medical GmbH&Co. (dt. Version)


